В.К. Таточенко, собственные данные, 2008
КЛИНИЧЕСКИЙ СЛУЧАЙ (III)
Настя К. 4,5 г поступила 26.05.08 – на 4-й день с Т0 390, кашлем, 2 дозы Амоксиклава (25 мг/кг) 25.05 без эффекта
При поступлении: навязчивый кашель, покраснение правой щеки, укорочение над правым легким сверху, хрипов нет. Кровь: Л -31,6 тыс, п/я – 29%, с/я 57%, СОЭ 36 мм/час, СРБ 60 мг/л, ПКТ 10 нг/мл

КЛИНИЧЕСКИЙ СЛУЧАЙ (III)
Доза Флемоксина Солютаба 45 мг/кг привела к падению Т0 к концу дня, быстрому улучшению состояния и нормализации картины в легких через 2 недели. Курс лечения - 5 дней - Диагноз: крупозная пневмония

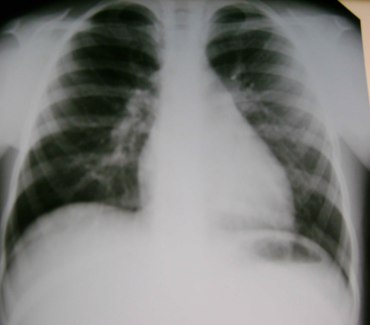
КЛИНИЧЕСКИЙ СЛУЧАЙ (IV)
09.10.08

Сережа Х. 8 лет – поступил 9.10.08 – на 7-й день с Т0 390. кашлем без катаральных явлений Дома не лечился
При поступлении: катара нет, справа ослабление дыхания, пучки крепитирующих хрипов Кровь: Л–10,8 тыс, с/я 62%, СОЭ 30, СРБ 50 мг/л
КЛИНИЧЕСКИЙ СЛУЧАЙ (IV)

13.10.08

КЛИНИЧЕСКИЙ СЛУЧАЙ (V)
Настя К. 9 лет – поступила 16.06.08 на 8-й день Т0 до 39,50, малопродуктивного кашля – терапия 2 дня цефазолин без эффекта


скудный катар, красные конъюнктивы, Обильные мелкопузыр-чатые хрипы, больше слева.
Кровь: Л - 7,7 тыс, п/я - 1%, с/я. - 58%, СОЭ 25 мм/час, СРБ – 12 мг/л
КЛИНИЧЕСКИЙ СЛУЧАЙ (V)
КЛИНИЧЕСКИЙ СЛУЧАЙ (VI)
Валя Л. 7 лет – поступила 8.10.08 на 5-й день катара, с кашлем и Т0 38-390 в течение 3 дней, 2 дня Зиннат 0,5 г/сут без эффекта
Яркие конъюнктивы, скудный насморк, слева, масса хрипов –мелко-пузырчатых. Негомогенное затемнение без четких границ слева Кровь: Л 11,5, с/я 76%, СОЭ 31

Вильпрафен Солютаб 1,5 г/сут с нормализацией Т0 в течение 1 дня и уменьшением обилия хрипов к 3-му дню. Диагноз:: атипичная (микоплазма ?) пневмония
Родион 4 лет, поступил 24.10.08 на 7-й день кашля и 5-й день Т0 выше 380. Супраксс 3-го дня без эффекта. Оба родителя переносят пневмонию, у брата – бронхит.
Субфебриллитет, умеренный катар, мелкопузырчатые хрипы – больше слева в нижних отделах, а также справа спереди. Лейкоциты 10,5х109/л,с/я 27%, СОЭ 25 мм/час АТ к микоплазме ребенка: IgG, IgA – отр., IgM+ АТ к микоплазме матери: IgG, IgA, IgM+

Диагноз микоплазмоза очевиден по клинике, картине крови, R и серологии. Вильпрафен Солтаб, выписка через 3 дня
Помощь детям с острой патологией
Проблема: Остро заболевший ребенок на дому → невозможно обследование → необоснованные назначения антибиотиков и госпитализация только для диагностики. Необходимо создание условий для полноценного обследования в поликлиниках. Проблема: Неоправданная госпитализация → только для выполнения элементарных анализов Необходимо создание «догоспитальнвх» отделений неотложной помощи Проблема: Неоправданно высокая продолжительность госпитализации → внутрибольничные инфекции. Ранняя выписка из стационаре больных с нетяжелыми заболеваниями. Проблема: Необоснованное назначение большого количества лекарств → чрезмерная лекарственная нагрузка. Внедрение в практику стандартов терапии - действующих рекомендаций.
Уважаемый посетитель!
Чтобы распечатать файл, скачайте его (в формате Word).
Ссылка на скачивание - внизу страницы.